

“医生,我还这么年轻,
真不想满口假牙!”
不久前,28 岁的宁德小伙小李(化名)满脸焦虑地来到福州大学附属省立医院口腔科牙周病专业组。小李近5年一直被刷牙出血、口腔异味折磨,在私人诊所洗过牙,却毫无改善。近两年,他惊恐地发现好几颗牙齿开始松动。当地医院的诊断更是让他如坠冰窖 —— 不仅要拔牙,而且至少拔八颗。

在四处打听后,小李抱着最后的希望来到了我院。
面对小李的复杂病情,牙周病专业组林春平博士耐心安抚他的情绪,并进行细致的检查。检查发现,小李患有重度牙周炎,全口多牙松动,牙槽骨普遍吸收严重。考虑他的诉求、年龄、经济状况等因素,为他量身定制个性化治疗方案。经过数月精心治疗,小李的牙周炎症得到有效控制,原本岌岌可危的牙齿也保住了!
小李的遭遇并非个例。牙周病作为口腔第二大常见病,在我国成人中的患病率高达60%。它不仅会引发牙龈出血、退缩、牙齿松动和口腔异味,严重时还会导致牙齿脱落,甚至与糖尿病、心脑血管疾病等全身疾病密切相关。

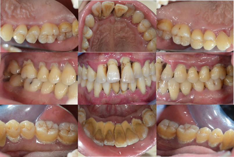
▲牙周治疗前口内彩幻

▲牙周治疗+种植治疗后口内彩幻
为了更好应对日益增长的
牙周病诊疗需求
给患者提供更专业、更优质的服务
我院成立牙周病专业组
是全省三甲综合医院口腔科中
首家成立牙周病专业组的科室
牙周病专业组
开设牙周病专科门诊,独立诊室内配备了 EMS 超声治疗仪、STA 无痛麻醉仪、激光治疗仪等国际先进设备,为牙周病的精准化、规范化治疗提供了坚实保障。目前开展各类牙周疾病的综合诊治,包括牙周基础治疗(洁治、刮治、根面平整),各类牙周手术治疗以及种植体周围炎的治疗。
除了牙周病学专业,口腔科还有牙体牙髓,种植修复,正畸,口腔外科等专业团队,可以为被复杂口腔问题困扰的患者提供多学科综合诊疗服务,分科精细治疗,亚专业转诊预约,相对于诊所的全科治疗,能提供更高质量更规范的治疗模式,大大节约治疗时间。

专家介绍

林春平
副主任医师,博士
毕业于北京大学口腔医学院牙周病学专业,现任福建省牙周病专业委员会委员。擅长各类牙周疾病的综合诊疗,包括牙周基础治疗,牙周手术治疗及种植体周围炎的治疗。
专科门诊时间:
周二上午(东街院区)

黄敏
主治医师
曾赴上海交通大学第九人民医院牙周病科进修,现任福建省牙周病专业委员会委员,福建省美学委员会委员,擅长各类牙周疾病的治疗及多学科诊疗,如牙龈出血、牙龈退缩、牙齿松动移位、口腔异味等的治疗。
专科门诊时间:
周一全天,周五下午(东街院区)
一审:王华炜
二审:许陈玉
三审:宁宇

