

8年前的支架忘记拔除
如今深嵌在细长的胆管里
还诱发了胆管多发结石
肝胆胰医学中心联合
内镜中心、麻醉科等多学科合作
通过三镜联合微创手术
为老张(化名)一次性解决痛苦

“主任,我最近反复出现高热,眼黄,尿黄,腹痛等不适……”60岁的老张满脸愁容的向肝胆胰医学中心的邱福南主任医师诉说着自己的痛苦。
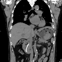
原来,老张8年前因胆总管狭窄腹痛,在其他医院行胆道支架置入,本来三个月后就要取出,老张出院后却将拔除支架的事忘得一干二净,最近又出现了胆管疾病的症状才来医院就诊。检查发现,老张胆管支架堵塞,胆管内多发结石,腹痛皆因于此。本来胆管结石可以通过经内镜逆行性胰胆管造影术(ERCP)微创解决,但老张的支架却牢牢嵌顿在胆管中了,若强行取出可能造成胆道出血。


▲支架深嵌在胆管里
因此,老张只能通过外科手术开刀取出支架,但因其胆管直径较细,手术难度较大,强行拔除支架可能出现肠瘘、出血、胆管狭窄等危险。而且还要在两个不同的科室完成两次手术,不仅仅增加痛苦,更增加住院时间和医疗总费用。
经过详细的多学科讨论后,邱福南主任医师团队最终决定为老张实行胆道镜、胃镜、腹腔镜(三镜)直视下胆总管切开术取出结石及支架,术中探查见支架近端包埋于胆管、远端嵌顿于肠管,难度重重。
幸好肝胆胰医学中心邱福南主任医师与消化内镜中心陈樑主治医师熟练的技艺,让一枚已经满目苍夷的胆管支架时隔八年终于重见天日。术后,老张的腹痛感就消失了,目前已经康复出院。

邱福南主任医师提醒,我省是胆道结石高发区域,部分患者因胆道狭窄需要行胆道支架置入,使狭窄或者闭塞的胆道保持通畅状态。但是,支架也是异物,放置过久会产生异物反应,附壁结石慢慢形成,堵塞管腔,引起胆道梗阻,胆道反复感染,重者出现感染性休克、MODS等危害生命。对于良性疾病,一般建议术后3个月左右拔除支架,避免造成不良后果。
专家介绍

邱福南 主任医师
擅长:肝胆胰脾外科良恶性疾病微创手术,特别是保护脏器功能手术(保留十二指肠胰头切除术、保胆取石术、脾脏部分切除术等)
门诊时间:
周二上午(东街院区)
周三上午(金山院区)

吴俊艺 主治医师
擅长:肝胆胰良恶性肿瘤、复杂结石微创诊疗,中晚期恶性肿瘤转化治疗
门诊时间:
周五下午(东街院区)

