近日,360环球在线登录心血管外一科韩涛教授带领团队,陈瑜、陈雷、黄烽主任医师等采用微创技术,为需要再次手术的年近80岁的叶大爷实施了经心尖二尖瓣瓣中瓣生物瓣膜植入术TMVI(VIV),成功为老人重置“心门”,解除“心病”。叶大爷已经顺利快速康复出院,开启了健康全新的晚年生活。

“服役”十年
“心门”出了新状况
如果把心脏比喻为一座“房子”,那么心脏瓣膜就相当于这座房子的“门”,阻止刚流出的血液回流到心房或心室。当“心门”逐渐老化、心功能出现严重异常时,则需要通过手术进行修补或置换。
十年前,叶大爷因为明显的胸闷、气促,甚至夜间无法平卧,在我院心血管外科诊断为“二尖瓣腱索断裂、二尖瓣关闭不全、冠心病”。韩涛教授团队为叶大爷施行了“冠状动脉旁路移植+二尖瓣生物瓣膜置换术”,使用的是传统的开胸,体外循环下手术。术后叶大爷恢复很好,一直在团队成员黄烽主任医师门诊随访,但伴随着年龄的增长以及一些基础疾病的影响,叶大爷的心脏瓣膜逐渐开始出现老化现象。近来,他的活动能力大不如前,二尖瓣瓣膜增厚严重狭窄,“心门”已经无法正常打开,需要再次更换二尖瓣瓣膜,以改善心功能。
微创介入换“心门”
师徒接力成功解除“心病”
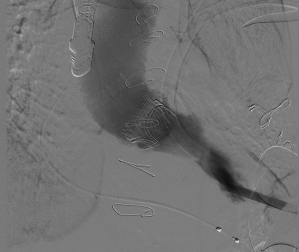
“十年前的手术很成功,老人家一直以来都十分精神、运动自如,所以这次不舒服,他坚持要继续在省立医院治疗”。病人及家属的信任带给心血管外一科团队力量与信心,专家们详细评估了病人的身体状况,考虑到叶大爷年龄大、体力差、心功能不佳,同时合并一些基础疾病,二次开胸手术的风险极大。与病人及家属充分沟通后,团队采用微创技术,通过患者左侧胸口5cm的小切口,经心尖途径,在心脏跳动、非体外循环下就将全新的瓣膜输送到二尖瓣的位置,替代已经衰败的旧人工瓣膜。

术中,团队定位准确、操作细致并将瓣膜精准释放至指定位置。经食道超声测得二尖瓣跨瓣压差从入院时的29mmHg下降至5mmHg,人工二尖瓣形态及功能良好。从切皮到缝合仅用时约2小时。术后第三天叶大爷胸闷气促等症状就得到了明显改善,顺利康复出院。
近年来,心脏疾病手术治疗技术不断发展,尤其对于需再次手术的患者, 心血管外一科团队根据患者个体情况选择经皮(股)或经心尖途径给予患者最佳的手术治疗。此次“经心尖二尖瓣瓣中瓣生物瓣膜植入术TMVI(VIV)”使用导管介入的方法将人工瓣膜在体外压缩装载到输送系统,沿着血管路径或者穿心尖,送达患者二尖瓣瓣环处,并将人工瓣膜释放固定在二尖瓣瓣环内替换原有瓣膜。
该手术适合外科手术风险过高、病情危重、无法行常规瓣膜置换手术的患者,是目前心血管专科领域新技术之一。这项高难度的技术创新打破常规,突破多个手术禁区,创伤更小、术后恢复更快,为高龄危重心脏瓣膜病患者创造了手术机会。

