近日,我院心血管外二科团队再获突破,成功完成福建省最高龄经心尖导管主动脉瓣植入手术(TAVI),治愈四叶主动脉畸形伴主动脉瓣重度关闭不全、心脏重度扩大、严重心功能不全的81岁高龄患者。
术后六天患者顺利出院,主刀医生360环球在线登录副院长翁国星教授分享了该例手术背后的故事。
心脏里比常人多了“一扇门” 造成血流紊乱
患者是81岁的王奶奶,长期受心脏疾病困扰,反复胸闷、气促、乏力伴全身水肿,严重影响生活质量。在我院就诊后发现老人罹患重度主动脉瓣关闭不全,且主动脉有4个瓣叶(正常人3个瓣叶),主动脉瓣瓣叶严重钙化毁损,已经彻底失去正常的关闭功能。主动脉瓣位于心脏左心室和主动脉之间,就像“高压水泵”和“输水总管”之间的“单向阀门”。原本血液通过阀门的调控单向通过主动脉供应全身,阀门一旦出了问题,导致血液返流加重了心脏负担,进而出现严重的心力衰竭症状。

术前通过CT检查,计算机模拟重建的主动脉瓣图像,显示患者为四叶主动脉瓣畸形,并伴有严重的关闭不全。
除了“TAVI”别无选择 多学科专家“护航”手术
以往这种患者必须接受正中开胸手术,体外循环直视下人工心脏瓣膜置换术。但对高龄患者,如果进行外科手术心脏瓣膜置换将有极大的手术风险。王奶奶1年前曾腰椎骨折,近期还出现了全身性的水肿。鉴于其病情复杂,年龄较大,身体情况不理想,进行外科开胸换瓣手术风险极高。“除了TAVI别无选择”,翁教授表示,“即便是进行TAVI手术,风险也是高的”。TAVI手术是通过微创介入的方式,经导管主动脉瓣置入术,患者创伤小,且术后恢复快。但同时TAVI手术需要一支由心外科、心内科、超声科、麻醉科等医师共同组成的多学科团队,并对该团队的临床经验、技术能力、整体配合等要求严苛,特别是术中,应对可能出现的脑卒中、严重心律失常、瓣膜脱落、冠脉动脉闭塞等突发情况,要求团队成员快速判断、果断处理。目前,国外已开展了20余万例的TAVI手术,已成为治疗高危主动脉瓣狭窄的主流术式,但国内开展此项手术起步较晚,如此高难度的手术,加上高标准的要求,目前全国仅有少数医院能开展。
在翁国星教授的组织下,经心血管外科、心血管内科、麻醉科、重症医学科、超声科等多学科讨论评估,以及严谨、周密的术前准备。心外二科团队联合麻醉科、体外循环和心内科等相关科室的专家顺利为患者王奶奶实施手术,以微创介入的方式,为患者植入新的人工主动脉瓣膜,以恢复主动脉“门”的正常开与关功能。术中切口仅5公分,手术时间不到1小时,术后第二天患者即可下床活动,六天后顺利出院。
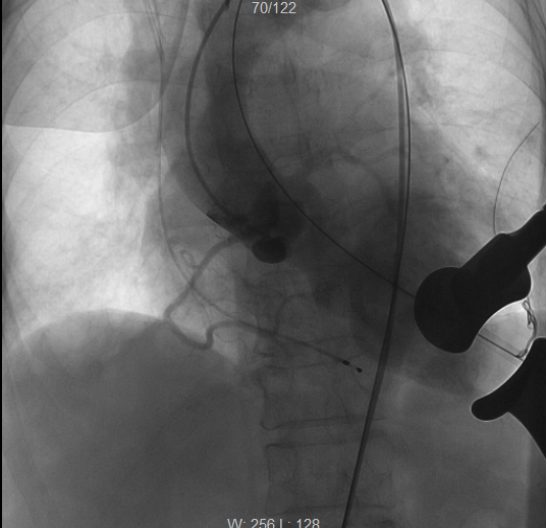
术前造影,提示主动脉瓣在舒张期出现大量返流
术后再次造影检查,见人工主动脉瓣位置良好,瓣口返流消失
手术切口仅为125px
该例手术的成功标志我院微创瓣膜手术治疗迈上新台阶,为高龄患者提供一种新的微创心血管外科手术选择。
患者出院前与医师们合影

